传统正畸:只能改变牙列不齐,不适用于地包天、龅牙等牙槽骨畸形,易反弹。
传统手术:需打断整个上、下颌骨体,并且有钛钉,创伤大、恢复慢,稍有不慎即可造成牙槽骨萎缩、牙神经坏死等后遗症。

“青枝”一词源自医学术语“青枝骨折”,这种骨折就像折断后新鲜嫩枝一样,一侧轻微折断,另一侧保持完整。
青枝折痕地包天龅牙矫正术,就是采用微手术+微正畸的方式,不截骨、不全部打断,仅将上、下颌骨部分断开、后推,不易损伤面部神经血管,不易引起牙槽骨骨质坏死,可使手术时间缩短为1小时,恢复期由原来的几个月缩短至两周。
突破成年人因颌骨畸形需要手术或传统正畸技术难以矫正的难题,解决骨性牙齿畸形。







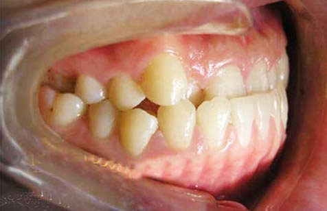
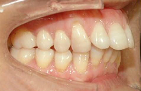
照片已取得顾客本人授权,具体情况或更多照片可到院当面询问。